+ 45 25 88 25 40
< tilbage 14-01-2026 - 20:10

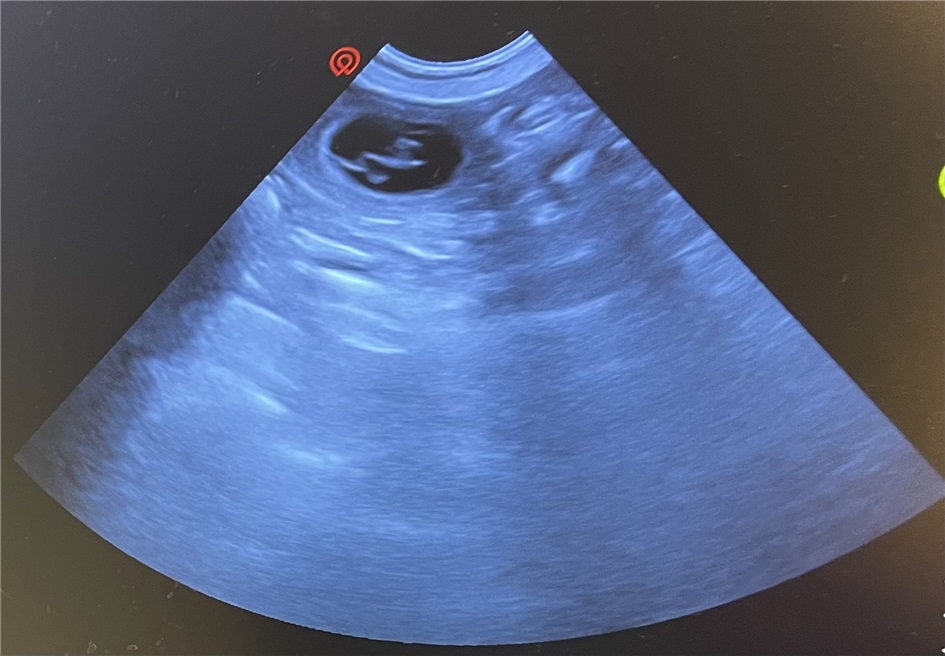
Thea er drægtig!

Vi har i dag været forbi dyrlægen og har fået bekræftet, at Thea er drægtig. Vi forventer hvalpe ca. 18. februar.

Mens kennelmor var med Abby i Slovakiet før jul, var Thea på date i Sverige. Scanningen i dag bekræftede drægtigheden. Alt ser normalt ud. Vi glæder os til endnu mere liv i huset i slutningen af februar.

< tilbage